相生おとなこども矯正歯科
2026年夏相生市にて歯科医院開業予定
医院の雰囲気や矯正相談・求人情報はInstagramをご覧ください↓
▪︎今年8月新規オープン🐼 ▪︎兵庫県相生市JR相生駅すぐ🌻 ▪︎小児矯正、マウスピース矯正対応⚪︎ ⬇️矯正相談・求人応募・求人相談はDM又は公式LINEにて受付中⬇️ ◉求人募集中◉多くのご応募ありがとうございます。引き続きご応募受け付けております。ご質問・ご相談だけでもかまいません🙆🏼
成人のマウスピース矯正について経験を元に投稿を書きま
お子様の矯正治療について、経験をもとに投稿を
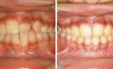
前歯の矯正について、治療経験と実際の症例から
受け口治療について、治療中の症例の紹介です。
お子様の前歯の歯並びについて、治療経験と実際
いままでの治療経験を元に、受け口
お子様の受け口について、治療経験と実際の症例
お子様の下の歯ならびについて理由について、治
さらに読み込む
Instagram でフォロー